
当3根电极插入脑中,会发生什么样的事情?这不是电影中的桥段,而是发生在首都医科大学三博脑科医院手术室的真实场景:医护人员在机器人的辅助下,将电极精准置入下丘脑错构瘤,将瘤子“热”摧毁,还同时根治难治性......
当3根电极插入脑中,会发生什么样的事情?这不是电影中的桥段,而是发生在首都医科大学三博脑科医院手术室的真实场景:医护人员在机器人的辅助下,将电极精准置入下丘脑错构瘤,将瘤子“热”摧毁,还同时根治难治性癫痫。
相比于传统的开颅手术,这是一种不开颅的创新手术方式,其最大的特点就是微创、精准、安全,并发症少,是难治性癫痫手术精准治疗领域的前沿技术。
不分时间场合的呵呵一笑竟是癫痫
28岁的陕西农村小伙吴双(化名),从半岁起就时不时呵呵一笑,这种这种情况慢慢地严重起来,从几天一次上升到一天好多次,而且似乎笑得有些不分时间场合。
刚刚开始家人也没有太在意,以为孩子爱笑很正常。“他当时就是时不时会呵呵一笑,他笑得时间不长,也就几秒钟,只是兴奋的时候更容易发作。”吴双的妈妈周阿姨说。
2015年的一天,目睹儿子癫痫症发作,周阿姨才惊觉事态严重。“孩子当时流口水,又晕倒,我们都吓呆了,如果没有看到儿子严重成这样,可能不知道要多久才带儿子去看医院。
从此,吴双一家踏上了漫漫求医路。当地医院医生考虑吴双为癫痫,但检查了多项,病因却一直不明确,用药控制病情也一直没有好转,发作的次数越来越频繁,吴双心情极度低落,只能休养在家,甚至不敢出门。
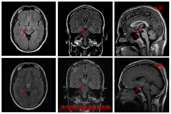
去年,吴双的病情进一步加重,被家人带到当地某三甲医院检查,经核磁共振颅内检查,医生发现其下丘脑处有一个错构瘤。谜团终于解开,下丘脑错构瘤这正是癫痫的致病根源所在。找到了癫痫的症结,但下丘脑错构瘤合并癫痫属于难治性癫痫,诊疗很是复杂,根治必须要靠外科治疗。地方医院多数没有这方面的诊疗的经验,当地医院建议吴双一家到大城市的综合癫痫中心去看看。
多方打听下,了解到首都医科大学三博脑科医院癫痫中心外科主任,主任医师关宇光在难治性癫痫诊疗方面颇有声誉。带着最后的希望,吴双一家来京找到了关宇光主任。关宇光主任接诊后,仔细询问了病史,并安排入院进行相关检查。

机器人辅助下微创精准“切”瘤
下丘脑错构瘤在临床比较少见,是一种异位的灰质组织,有自发放电及内分泌功能。主要于婴幼儿及儿童期发病,临床主要表现为痴笑性癫痫、认知功能障碍、性早熟等症状。
痴笑样癫痫通常药物治疗效果有限,后期癫痫会进一步进展。因此传统治疗主要以开颅手术为主。但下丘脑错构瘤病变位置隐蔽,位于大脑深部,病变体积小,周围都是重要的脑神经和核团,导致开颅手术损伤重,完全切除难度大。既往开颅手术因错构瘤位置深,毗邻重要功能结构,术后容易出现下丘脑综合症,包括高热、激素代谢紊乱、电解质紊乱、尿崩等并发症,术后住院时间长达需要2周左右,并且可能需长期服用激素替代治疗,患者生活质量差,痛苦非常大。

经过充足的术前准备后,三博癫痫中心团队运用此项技术,在机器人的“帮助”下,成功“消灭”了患者颅内的错构瘤,并满意解决了患者多年癫痫发作的问题。“相比于传统的开颅手术,新技术最大的特点就是精准、微创及安全。”关宇光主任介绍说,这是一种全新的肿瘤‘切除’方式,热凝毁损肿瘤的过程中患者甚至是清醒的,我们可以在术中检测他的语言、视力和运动功能有没有受到影响。这项手术能给患者带来更小的损伤、更好的预后。”
关宇光主任提醒,痴笑性癫痫发病常见于幼儿,不同于普通癫痫急性发作时有抽搐、咬牙等明显症状,笑性癫痫在临床上相对来说比较少见,也很容易被忽视和误诊。实际上,痴笑性癫痫如果不及时进行治疗控制,病情发展下去也会出现其他癫痫症状;所以如果家长发现孩子经常无故发笑、哭闹,最好带孩子前往医院进行检查。临床上早期治疗或通过手术处理,多数的患者病情能够得到有效控制。
专家介绍

关宇光,首都医科大学三博脑科医院主任医师,副教授,硕士生导师、功能神经外科主任、神经外科一病区主任、癫痫中心外科主任、运动障碍中心副主任。
出诊时间:周一、二、四、五上午
专业特长:癫痫、儿童癫痫、面肌痉挛、三叉神经痛、帕金森、特发性震颤、梅杰综合征、肌张力障碍、舞蹈症、抽动秽语综合征、顽固性疼痛、脑瘫、植物状态促醒等功能神经疾病的诊断与治疗;功能区脑肿瘤、颞叶、海马区域脑肿瘤的手术切除;海绵状血管瘤、血管畸形、结节硬化的手术治疗。